
طبيب الأسنان عبد القادر غوغن من مواليد إسطنبول عام 1988. تخرج من ثانوية تشنغل كوي في عام 2006، وفي نفس العام التحق بكلية طب الأسنان في جامعة أتاتورك بإرزوروم. أكمل تعليمه هناك بنجاح وتخرج في عام 2011. عمل لمدة سبع سنوات في عيادة OMA لطب الأسنان بين عامي 2011-2018، ثم أسس عيادته الخاصة في تشنغل كوي بمنطقة أسكودار في عام 2018، ولا يزال يواصل ممارسته بنشاط حتى الآن.
مجالات الاهتمام
فقدان الأسنان
ألم الأسنان
نزيف اللثة
الأسنان المطمورة
مشاكل الفك
أمراض الأسنان واللثة
القلاع الفموي
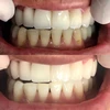
ازدحام الأسنان
مجالات التخصص
طبيب أسنان