
تخرج من ثانوية إسطنبول للأولاد في عام 1982. حصل على لقب طبيب أسنان في كلية طب الأسنان بجامعة إسطنبول في عام 1987. في عام 1988، بدأ دراسته للدكتوراه في فرع أمراض وعلاج الأسنان، قسم علاج الجذور (الإندو دونتيا) في كلية طب الأسنان بجامعة إسطنبول.
أكمل أطروحة الدكتوراه التي حملت عنوان "الدراسة المقارنة لمقاومة جذور الأسنان المملوءة بمستحضرات قنوات مختلفة ضد الكسر" في عام 1994. عمل كمعيد في فرع أمراض وعلاج الأسنان، قسم علاج الجذور بكلية طب الأسنان بجامعة إسطنبول حتى عام 2003.
مجالات الاهتمام
ألم الأسنان
تسوس الأسنان
نقص الأسنان
نزيف اللثة
صرير الأسنان
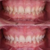
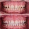
ازدحام الأسنان
أمراض الأسنان واللثة
التهاب الأنسجة حول الزرعة
التهاب مخاطية حول الزرعة
قصور في نمو منطقة الأسنان والفك والوجه
أكياس الفك
تطبيقات الزركونيوم
علاج الزرع
تطبيقات البورسلين
القشرة الخزفية (لامينيت فينير)
مجالات التخصص
طبيب أسنان