
الدكتور فيسل بلغة، تخرج من كلية طب الأسنان بجامعة دجلة. بعض المؤسسات التي عمل بها سابقاً: مستشفى ميديكانا كاديكوي، عيادة سمايل-آرت أتا شهير لطب الأسنان، عيادة فيسل بلغة الخاصة لصحة الفم والأسنان، مستشفى ميديكالبارك فان، عيادة دنت إيست ديار بكر لصحة الفم والأسنان (ذُكرت مرتين). ويعمل حالياً في عيادة مجموعة إسطنبول الخاصة لصحة الفم والأسنان.
الاهتمامات
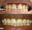
تسوس الأسنان
صرير الأسنان
ألم الأسنان
نقص الأسنان
نزيف اللثة
أمراض الأسنان واللثة
رائحة الفم الكريهة
تزاحم الأسنان
التهاب حول الزرعة
قصور نمو منطقة الأسنان والفك والوجه
الخبرات
عيادة دنت إيست ديار بكر لصحة الفم والأسنان،
عيادة دنت إيست ديار بكر لصحة الفم والأسنان،
مستشفى ميديكالبارك فان
عيادة فيسل بلغة الخاصة لصحة الفم والأسنان
المدارس / الدورات
كلية طب الأسنان جامعة دجلة
مجالات التخصص
طبيب أسنان