
د. زينب كالينجو طبيبة أسنان
مجالات الاهتمام
رائحة الفم الكريهة
الأسنان المطمورة
صرير الأسنان
القلاع (تقرحات الفم)
اضطرابات مفصل الفك الصدغي (TMJ)
جروح الفم
التهاب دواعم السن حول الزرعة (Periimplantitis)
أكياس الفك
تسوس الأسنان
كسر السن
طحن الأسنان
السن المصاب (ذو الآفة/المصاب بالعدوى)
التهاب ما حول تاج السن (Perikoronitis)
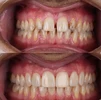
الأسنان المتباعدة
نزيف اللثة
فقدان الأسنان
جير الأسنان
كسور الأسنان
أمراض الأسنان واللثة
ألم الأسنان
ازدحام الأسنان
مجالات التخصص
طبيبة أسنان