
وُلد د. ط. محمد ألتينسوي عام 1982 في كيرشهير، وتخرّج من كلية طب الأسنان بجامعة أنقرة عام 2005. بين 2005 و2010، قام بتطوير خبرته المهنية من خلال عمله في عيادة خاصة بأنقرة، ثم عمل بين 2010 و2016 في مؤسسات حكومية في اسطنبول وقيصري. ومنذ عام 2016، يقدم د. ط. محمد ألتينسوي خدماته ضمن عيادة أوجوريل لصحة الفم والأسنان، وهو أحد شركاء عيادتنا.
مجالات الاهتمام
ألم الأسنان
فقدان الأسنان
التهاب مخاطية حول الغرسات
صرير الأسنان
قصور نمو منطقة الوجه والفكين والأسنان
التهاب الأنسجة المحيطة بالغرسة (بيري إمبلانتاتيتس)
نزيف اللثة
التهاب التاج (بيريكورونيتس)
رائحة الفم الكريهة
أكياس الفك
أمراض الأسنان واللثة
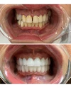
تسوس الأسنان
اعوجاج الأسنان
مجالات التخصص
طبيب أسنان