
طبيب الأسنان إسطنبول د. جانر أوزسوي – طبيب أسنان
مجالات الاهتمام
رائحة الفم الكريهة
كسر الأسنان
كسور الأسنان
اضطرابات الفك
متلازمة انقطاع النفس أثناء النوم
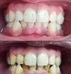
الأسنان المتفرقة
القلاع (أفت)
اضطرابات مفصل الفك الصدغي (TME)
تقرحات الفم
نزيف اللثة
الليكِن بلانوس
ألم الأسنان
اعوجاج الأسنان
التهاب التاج حول الأسنان (بيريكورونيت)
صرير الأسنان
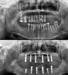
التهاب حول الزرعة السنية (بيري إمبلانتتس)
فقدان الأسنان
الجير السني
تسوس الأسنان
أمراض الأسنان واللثة
التهاب الغشاء المخاطي حول الزرعة السنية (بيري-إمبلانت ميكوزيتس)
الأسنان المصابة أو الملتهبة
كيسات الفك
طحن الأسنان
الأسنان المطمورة أو المدفونة
نقص نمو الأسنان، الفك، ومنطقة الوجه
الليكوبلاكية
مجالات التخصص
طبيب أسنان