
تخرج من ثانوية أرزروم إ. حقي للعلوم عام 2006.
تخرج من كلية طب الأسنان في جامعة غازي عام 2012.
عمل في عيادة الأسنان الخاصة موتلو بين عامي 2012-2013.
خلال عامي 2013-2014
خدم في قيادة دعم الخدمات لقيادة القوات البحرية في بارتين
كضابط أسنان برتبة ملازم وملازم أول في مركز الرعاية الصحية الأولية.
بدأ العمل في مركز صحة الفم والأسنان في أفجيلار إسطنبول عام 2014.
في نوفمبر 2021، استقال من الخدمة الحكومية وافتتح عيادة إينجي بارك لصحة الفم والأسنان وبدأ تقديم خدماته هناك.
مجالات الاهتمام
صرير الأسنان
تسوس الأسنان
ألم الأسنان
فقدان الأسنان
نزف اللثة
أمراض الأسنان واللثة
رائحة الفم الكريهة
ازدحام الأسنان
علاج جذور الأسنان (إندودونتيا)
كسر السن
جير الأسنان
الفراغات بين الأسنان
الأسنان ذات الالتهابات (المصابة)
الأسنان المدفونة
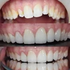
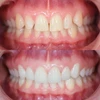
مجالات التخصص
طبيب أسنان