
تخرج من كلية طب الأسنان بجامعة إسطنبول عام 2005. بالإضافة إلى العلاجات الأساسية، ركز بشكل خاص على زراعة الأسنان والبروستيثيك الخاصة بالزرعات. واصل مسيرته المهنية في عيادة أتا الخاصة لصحة الفم والأسنان، ومركز إستانبول بانديك شيفا لصحة الفم والأسنان، وعيادة دنت أكاديمي لصحة الفم والأسنان، وعيادة كلينيك أكاديمي لصحة الفم والأسنان.
ألم الأسنان
التهاب ما حول الزرعة (Periimplantitis)
صرير الأسنان
التهاب الغشاء المخاطي حول الزرعة (Peri-Implant Mukozitis)
فقدان الأسنان
نقص نمو الفك والوجه والأسنان
تسوس الأسنان
نزيف اللثة
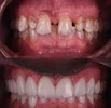
اعوجاج الأسنان
رائحة الفم الكريهة
أكياس الفك
أمراض الأسنان واللثة
التهاب التاج السني (Perikoronitis)