
عيادة إيجه لطب الأسنان هي منشأة للعناية بالأسنان متقدمة تقنياً تقع في إسطنبول. توفر لنا ميزاتنا الحديثة في كل غرفة رعاية للمرضى مثل الأشعة السينية الرقمية، والكراسي المريحة، والشاشات المسطحة إمكانية تقديم أفضل خدمة ممكنة. يوفر مختبر التركيبات السنية الداخلي للعيادة أطقم أسنان مخصصة بالكامل لتناسب أي ميزانية، بالإضافة إلى إصلاحات في نفس اليوم مع مواعيد سريعة. نحن نفخر بتوفير أفضل تجربة ممكنة للمرضى ضمن أجواء ودية وبأسعار مناسبة ومع أحدث تكنولوجيا في مجال طب الأسنان، ونجعل كل زيارة مريحة ومهدئة بمساعدة طاقمنا الودود.
الاهتمامات:
صرير الأسنان
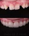
تسوس الأسنان
فقدان الأسنان
ألم الأسنان
نزيف اللثة
أمراض الأسنان واللثة
رائحة الفم الكريهة
اعوجاج الأسنان
التهاب حول الزرعة السنية
نقص نمو الفكين والمنطقة الوجهية
طب أسنان الأطفال
علاج جذور الأسنان (الاندودونتيا)
أمراض اللثة (البيريودونتولوجيا)
تجميل الأسنان (البوندينغ)
الأسنان المصابة (ذات الآفة)
كيسات الفك
الأسنان المطمورة
كسور الأسنان
مجالات التخصص:
طبيب أسنان