
د. عمر أونر - طبيب أسنان
مجالات الاهتمام
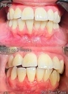
ألم الأسنان
تسوس الأسنان
نقص الأسنان
نزيف اللثة
صرير الأسنان
اعوجاج الأسنان
أمراض الأسنان واللثة
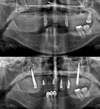
التهاب ما حول الزرعة السنية (Periimplantitis)
التهاب مخاطية ما حول الزرعة السنية (Peri-İmplant Mukozitis)
قصور في نمو منطقة الأسنان والفك والوجه
أكياس الفك
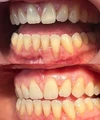
تطبيقات الزيركونيوم
علاج الزرعات السنية
تطبيقات البورسلين
فينير القشرة التجميلية (Laminate veneer)
مجالات التخصص
طبيب أسنان