
ولد في كاديكوي، إسطنبول عام 1993. أنهى تعليمه الابتدائي في مدارس إستك فاكفي أجيبادم، ثم تخرج من ثانوية ساكيب سابانجي الأناضولية عام 2011، ومن كلية طب الأسنان في جامعة كوجالي عام 2018.
خلال مسيرته التعليمية أجرى تدريباً تطوعياً في عيادة خاصة حيث أتيحت له فرصة مراقبة العمليات الجراحية المتقدمة والعديد من الحالات متعددة التخصصات، ومن ثم قرر التخصص في علاج الأسنان التعويضي.
يواصل حالياً دراسة الدكتوراه في قسم علاج الأسنان التعويضي في جامعة يدي تبه، ويستقبل المرضى في باجدات جاديسي، ونيشان تاشي، وبولغورلو/أسكودار.
مجالات الاهتمام
صرير الأسنان
تسوس الأسنان
ألم الأسنان
نقص الأسنان
نزيف اللثة
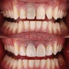
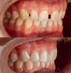
أمراض الأسنان واللثة
رائحة الفم الكريهة
الترابط (Bonding)
علاج جذور الأسنان (إندودونتيا)
الفراغات بين الأسنان
اضطرابات الفك
الجير السني
الأسنان المكسورة
اضطرابات المفصل الصدغي الفكي (TME)
كسور الأسنان
ضغط الأسنان
الخبرات
عيادة فاتح الخاصة لصحة الفم والأسنان
عيادة كوتشوك يالي الخاصة لصحة الفم والأسنان
عيادة سونمزدنت لصحة الفم والأسنان
المدارس / التعليم
ثانوية ساكيب سابانجي الأناضولية (إسطنبول، 2011)
جامعة كوجالي طب الأسنان (كوجالي، 2018)
جامعة يدي تبه علاج الأسنان التعويضي (إسطنبول، 2020)
مجالات التخصص
طبيب أسنان