
رئيس مجلس الإدارة هو د. بيرفر تاشتان. وُلد بيرفر تاشتان في عام 1978 في تاتوان/بتليس. بعد أن أكمل تعليمه الابتدائي والمتوسط في مسقط رأسه تاتوان، تلقى تعليمه في كلية طب الأسنان بجامعة يديتيبه بين عامي 1999 و2004. وقد صنع خلال دراسته فيها تمثالاً لسن بطول 4 أمتار لا يزال حتى اليوم معروضاً عند مدخل الكلية. تميز بيرفر تاشتان بهويته الرؤيوية والإبداعية البارزة، فجذب الانتباه بسرعة بمهارته الفائقة في يديه، فأعفاه عميد الكلية من جميع الدروس العملية المهنية في ذلك الوقت. بينما كان لا يزال طالباً في الصف الثاني، أسس شركته الخاصة في تشابا تحت علامة STUDENTAL، وقام ببيع المنتجات التي صممها وأنتجها بنفسه للعديد من كليات طب الأسنان. في عام 2004، بدأ أول عمل له في تاتوان كممارس، وبعد 8 أشهر أسس عيادة طب الأسنان في مركز يونيفرسال الطبي بوحدتين لطب الأسنان.
ألم الأسنان
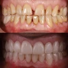
تسوس الأسنان
نقص الأسنان
نزيف اللثة
صرير الأسنان
ازدحام الأسنان
أمراض الأسنان واللثة
التهاب ما حول الغرسة السنية (Periimplantitis)
التهاب مخاطية ما حول الغرسة (Peri-İmplant Mukozitis)
نقص تطور الفك ووجه الأسنان
كيسات الفك
تطبيقات الزركونيوم
علاج الزرع السني
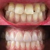
تطبيقات البورسلين
فينير الصفائح (Laminate veneer)
مجالات التخصص
طبيب أسنان