
وُلدت طبيبة الأسنان مليكة كراداغ عام 1995 في إسطنبول. أكملت التعليم الابتدائي والمتوسط والثانوي في إسطنبول، ثم تابعت مسيرتها التعليمية في أنقرة عام 2014 بعد التحاقها بكلية طب الأسنان بجامعة أنقرة. تتقن اللغة الإنجليزية وتواصل عملها منذ عام 2020 في عيادة Multidenta الخاصة لصحة الفم والأسنان.
مجالات الاهتمام
ألم الأسنان
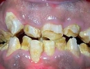
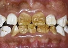
تسوس الأسنان
فقدان الأسنان
نزيف اللثة
صرير الأسنان
اعوجاج الأسنان
أمراض اللثة والأسنان
التهاب الأنسجة حول الزرعة السنية (Periimplantitis)
التهاب مخاطية ما حول الزرعة (Peri-Implant Mukozitis)
قصور نمو منطقة الأسنان والفكين والوجه
أكياس الفك
تطبيقات الزركونيوم
علاج الزرع السني
تطبيقات البورسلان
فينير اللامينيت
مجالات التخصص
طبيبة أسنان