
أنهت الدكتورة طبيبة الأسنان أوزغه غورغون سوباشيلر تعليمها الابتدائي والإعدادي والثانوي في كلية ترجمان. أكملت دراستها الجامعية والدراسات العليا في كلية طب الأسنان بجامعة إسطنبول. وفي عام 2002، بدأت دراسة الدكتوراه في قسم تقويم الأسنان بنفس الجامعة، وأكملت أطروحة الدكتوراه الخاصة بها عام 2009 تحت عنوان "التقييم المقارن لنظافة الفم ونشاط التسوس لدى المرضى الذين يتم علاجهم بالتقنيتين الشفهية واللسانية".
مجالات الاهتمام
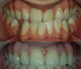
المالوكليوز من النوع الثالث
اعوجاج الأسنان
الشق الشفوي - الحنكي
مشاكل الفك
الأسنان المطمورة
المالوكليوز التقويمي
المالوكليوز من النوع الأول
المالوكليوز من النوع الثاني
الأسنان المفصولة
كسر الأسنان
صرير الأسنان
نزيف اللثة
ألم الأسنان
اعوجاج الأسنان
أمراض الأسنان واللثة
التهاب حول الزرعة (Periimplantitis)
التهاب الغشاء المخاطي حول الزرعة
الحزاز المسطح (Lichen Planus)
اضطراب الفك
جراحة الليزر
رائحة الفم الكريهة
نقص نمو الأسنان والفك ومنطقة الوجه
التسكين الطبي (Sedation)
الأسنان المفصولة
الخبرات
عيادتها الخاصة
2002 كلية طب الأسنان في جامعة إسطنبول
2009 أكملت الدكتوراه بقسم تقويم الأسنان في كلية طب الأسنان بجامعة إسطنبول
منذ 2009 لديها عيادة خاصة في باكيركوي
المدارس / التعليم
كلية ترجمان
كلية طب الأسنان بجامعة إسطنبول (بكالوريوس وماجستير)
مجالات التخصص
تقويم الأسنان
طبيبة الأسنان