
الدكتور ميليه شينغول يواصل أعماله بشكل خاص منذ عام 2007. إلى جانب الأعمال الجمالية وعلاج الزرعات، يهتم أيضًا بطب الأسنان الرقمي ويجري أبحاثًا في هذا المجال. يقدم خدماته في عيادته الخاصة.
مجالات الاهتمام
فقدان الأسنان
صرير الأسنان
أمراض الأسنان واللثة
تسوس الأسنان
اعوجاج الأسنان
ألم الأسنان
نزيف اللثة
التهاب ما حول الزرعة
مشاكل تجميل الأسنان
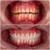
تغير لون الأسنان
الأسنان ذات المظهر السيء
الخبرات
عيادة خاصة (2007)
قسم علاج الأسنان التعويضي، كلية طب الأسنان، جامعة مرمرة
المدارس / التعليم
كلية طب الأسنان، جامعة يدي تبه (2001)
كلية طب الأسنان، جامعة مرمرة (2007)
مجالات التخصص
طبيب أسنان
علاج الأسنان التعويضي