
الدكتورة أصلهان غولشن، أخصائية علاج الجذور، ولدت في 26 مارس 1986 في إسطنبول. بعد تخرجها من مدرسة كوتش الخاصة، تخرجت من كلية طب الأسنان بجامعة يدي تبه عام 2010، وبدأت في نفس العام دراستها في قسم علاج الجذور بنفس الجامعة وأكملت دراستها للدكتوراه. عملت أصلهان غولشن كأخصائية علاج الجذور في بعض العيادات في إسطنبول قبل أن تفتح عيادتها الخاصة، وهي تعمل الآن فقط في عيادتها الخاصة مع زوجها أخصائي جراحة الفك الدكتور هاكان غولشن.
بالإضافة إلى تطبيقات علاج الجذور الروتينية في العيادة، تقوم بشكل خاص بعلاج الأسنان المصابة بعدوى والأسنان التي تم علاجها بالجذور سابقًا وتطورت فيها عدوى.
مجالات الاهتمام
صرير الأسنان
تسوس الأسنان
أمراض الأسنان واللثة
ألم الأسنان
نقص الأسنان
نزيف اللثة
اعوجاج الأسنان
رائحة الفم الكريهة
التهاب حول الغرسة
قصور نمو منطقة الأسنان والفك والوجه
علاج الجذور
علاج جذور الأسنان
استئصال الجذر
حشو الأسنان اللبنية
علاج الجذور للأسنان اللبنية
بتر اللب
بوتوكس عضلة المضغ
كشط الجير
تبييض الأسنان
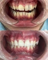
تقويم الأسنان
العلاج التقويمي المبكر
العلاج بالأجهزة التقويمية
العلاج التقويمي لأغراض تعويضية
إنلاي/أونلاي
تطبيق الفلوريد
تطبيق مادة تغطية الشقوق
إجراءات وقائية ضد التسوس في الأسنان اللبنية
علاج الفك الوظيفي
علاج الجذور للسن ذو الذروة المفتوحة
تطبيق القنوات المعدنية/الليفية
الحشوة التجميلية
جبيرة الليل
جماليات اللثة / تجميل اللثة
المدارس / التعليم
مدرسة كوتش (2000-2004)
جامعة يدي تبه، كلية طب الأسنان (2005-2010)
جامعة يدي تبه، كلية طب الأسنان، قسم علاج الجذور (2010-2014)
مجالات التخصص
طبيبة أسنان
علاج الجذور (اندودونتكس)