
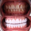
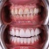
دكتور الأسنان كاغان أوزكان وُلد في أنطاليا. أكمل تعليمه الثانوي في مدرسة آدم تولوناي الأناضولية وتخرج من كلية طب الأسنان بجامعة حاجت تبه كطالب شرف. ركز على التصوير الفوتوغرافي للأسنان، وتصميم الابتسامة الرقمية، وتطبيقات القشور التجميلية (اللامينيت)، وعلاجات الإيمبريس والزركونيا.
مجالات الاهتمام
ألم الأسنان
تسوس الأسنان
نقص الأسنان
نزف اللثة
صرير الأسنان
اعوجاج الأسنان
أمراض الفم واللثة
التهاب ما حول الزرعة السنية (periimplantitis)
التهاب الغشاء المخاطي حول الزرعة (peri-implant mucositis)
نقص نمو منطقة الأسنان والفك والوجه
أكياس الفك
تطبيقات الزركونيوم
علاج الزرعات السنية
تطبيقات البورسلين
القشور التجميلية (laminate veneer)
مجالات التخصص
طبيب أسنان